Parient history
Here is an example of a patient completing dental treatment using the All-on-6 technique in the upper jaw.
Treatment
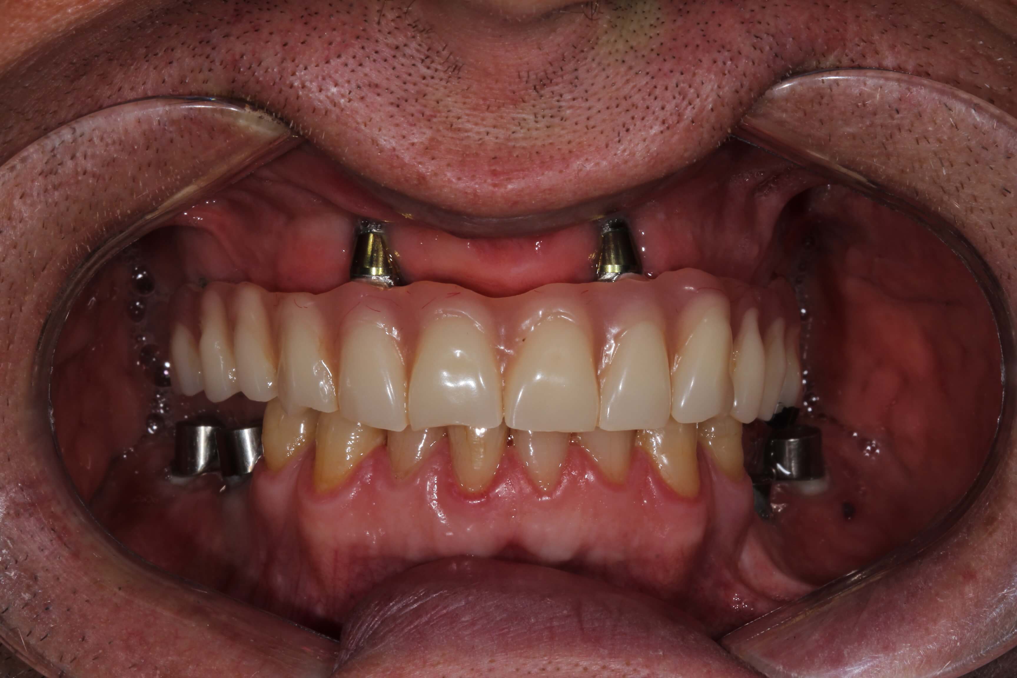
In the first stage, six implants were placed in the upper jaw, and a functional temporary fixed prosthesis was installed. One year later, in the second stage (as shown in the photos), the temporary upper prosthesis was replaced with a permanent zirconia prosthesis. Additionally, zirconia crowns were placed on implants in the lower jaw.
Result
The final stage involved placing ceramic veneers on the remaining lower teeth. The results of our doctors’ work can be seen in the “after” photos.
Treatment was carried out
Person consultation — 55 BYN. Online consultation is free with photo.
Person consultation — 55 BYN. Online consultation is free with photo.

