Patient history
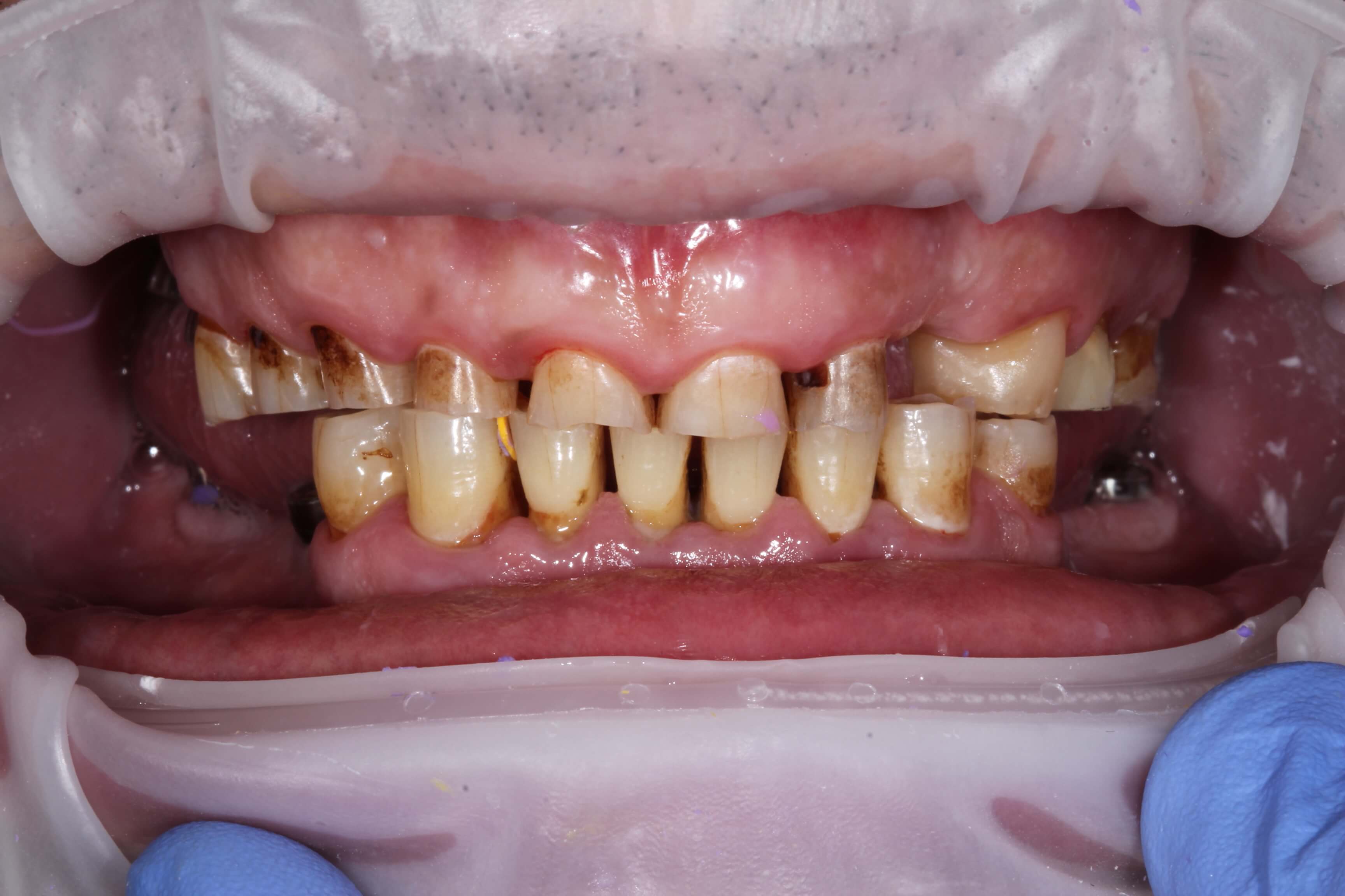
A male patient came to us with complaints of severe wear of the front teeth and the absence of posterior teeth in both jaws. He initially sent us X-rays and photos of his teeth remotely, which allowed us to create a detailed, personalized treatment plan that we later carried out.
Treatment
At the first visit, the remaining tooth roots were removed, and implants were placed in the posterior areas where teeth were missing. After that, soft tissue grafting was performed in the necessary sites.
Result
After six months, following digital modeling of the future restoration, the posterior teeth were restored with zirconia crowns on implants, while the anterior teeth were restored with ceramic veneers and crowns.
Treatment was carried out
Person consultation — 55 BYN. Online consultation is free with photo.
Person consultation — 55 BYN. Online consultation is free with photo.

