Patient history
A male patient came to us with complaints of missing teeth in the posterior regions of both the lower and upper jaws, as well as severe wear of the remaining front teeth.
Treatment
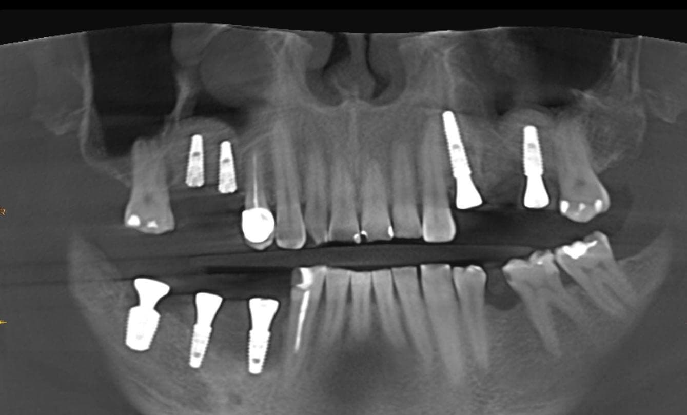
In the first stage of treatment, we performed surgical preparation: bone grafting in the upper jaw (sinus lift), implant placement, and soft tissue grafting in areas where there was a significant deficiency.
Result
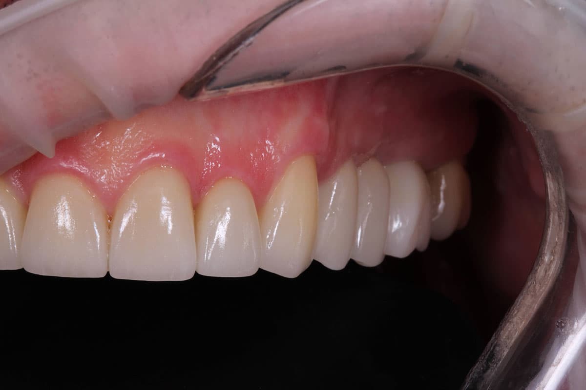
After six months, following digital planning of the future restorations, zirconia crowns and bridge prostheses on implants were placed in the posterior regions, and the worn remaining teeth were restored with ceramic veneers.
Treatment was carried out
Person consultation — 55 BYN. Online consultation is free with photo.
Person consultation — 55 BYN. Online consultation is free with photo.

