История
Пациент приехала к нам в клинику для полного восстановления зубов. На верхней челюсти у нее оставалось всего 6 зубов, после снятия коронок с них выяснилось, что они идут под удаление. В боковых отделах зубов не было давно. Со слов пациента, ранее ей проводились операции на обеих верхнечелюстных пазухах. На снимках мы видели подтверждение ее слов, на наружных стенках пазух были обнаружены дефекты. Это делало невозможным проведения стандартных процедур по наращиванию костной ткани в боковых отделах и классическую имплантацию. В таких случаях мы можем провести имплантацию по методике All-On-6 (“все на шести”), при которой имплантаты устанавливаются в свод верхнечелюстных пазух под определенными углами.
В классической методике “все на 6“ мы используем протез с искусственной десной. Но у данной пациентки ситуация осложнялась наличием так называемой “десневой улыбки”, то есть когда она улыбается у нее оголяется часть десны, поэтому традиционный протез выглядел бы неэстетично.
Лечение
В ее случае мы использовали модифицированную методику “All-On-6”, установив всего 6 имплантатов под углом на верхней челюсти и изготовив временный протез максимально похожий на ее собственные зубы: сформировали профили прорезывания в области каждого зуба, чтобы получить максимальный эстетический результат. Первый этап лечения на этом закончился.
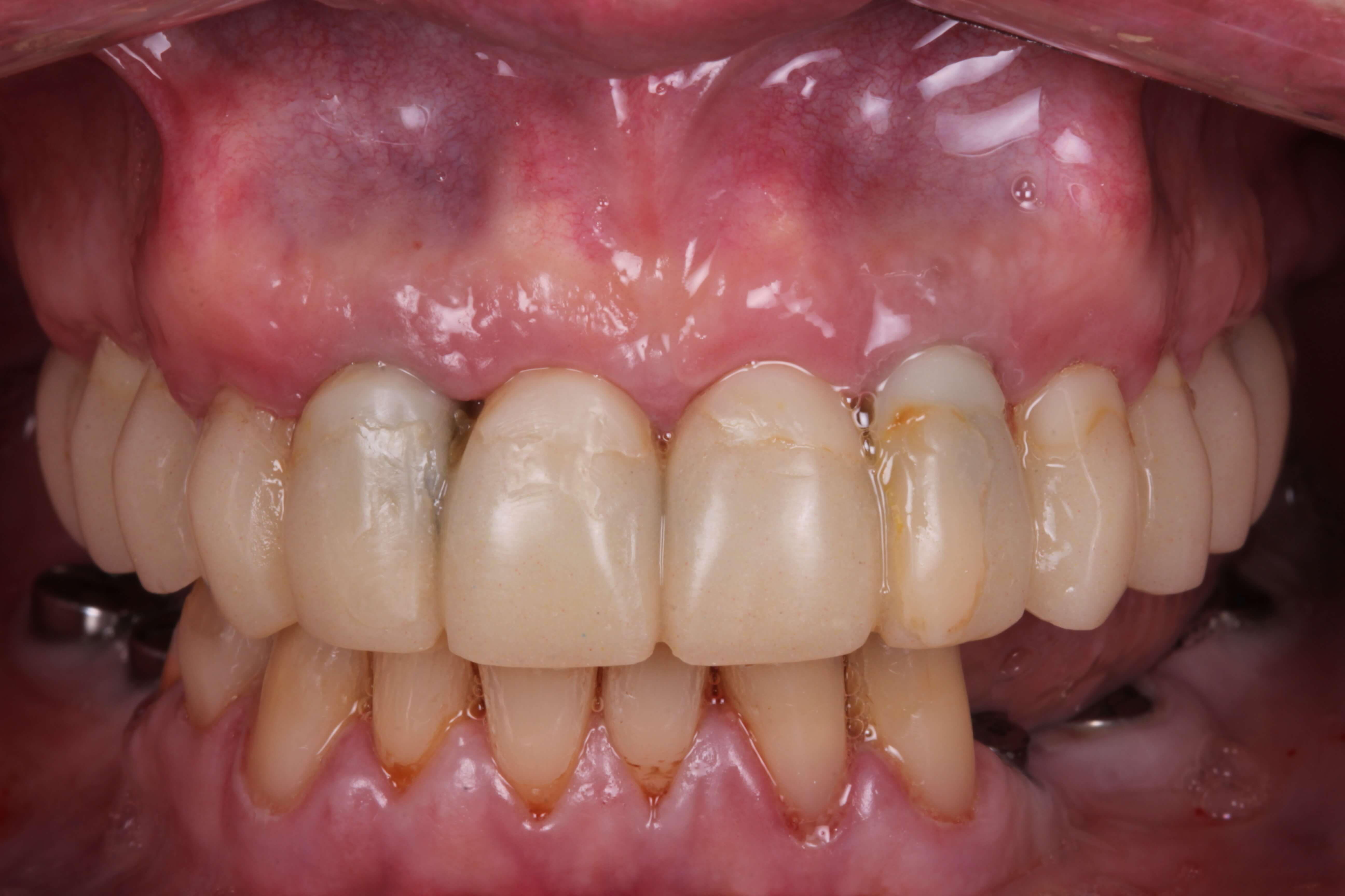
Результат
Через 6 месяцев пациент приехала на второй этап, во время которого мы изготовили максимальной эстетический протез на имплантатах на верхней челюсти, циркониевые протезы на имплантатах на нижней челюсти, а также скорректировали форму и цвет оставшихся зубов на нижней челюсти с помощью керамических виниров.
Лечение выполняли
Врач стоматолог-хирург-имплантолог, первая квалификационная категория.
ПодробнееВрач стоматолог-ортопед, высшая квалификационная категория.
Подробнее
