История
Довольно простой, но не менее ответственный для нас случай реабилитации боковых отделах на обеих челюстях. Все этапы лечения смотрите на фото.
Лечение
На первом этапе было проведено наращивание костной ткани на верхней челюсти (синус-лифтинг), одновременно с этим были установлены имплантаты, а также проведена пластика мягких тканей.
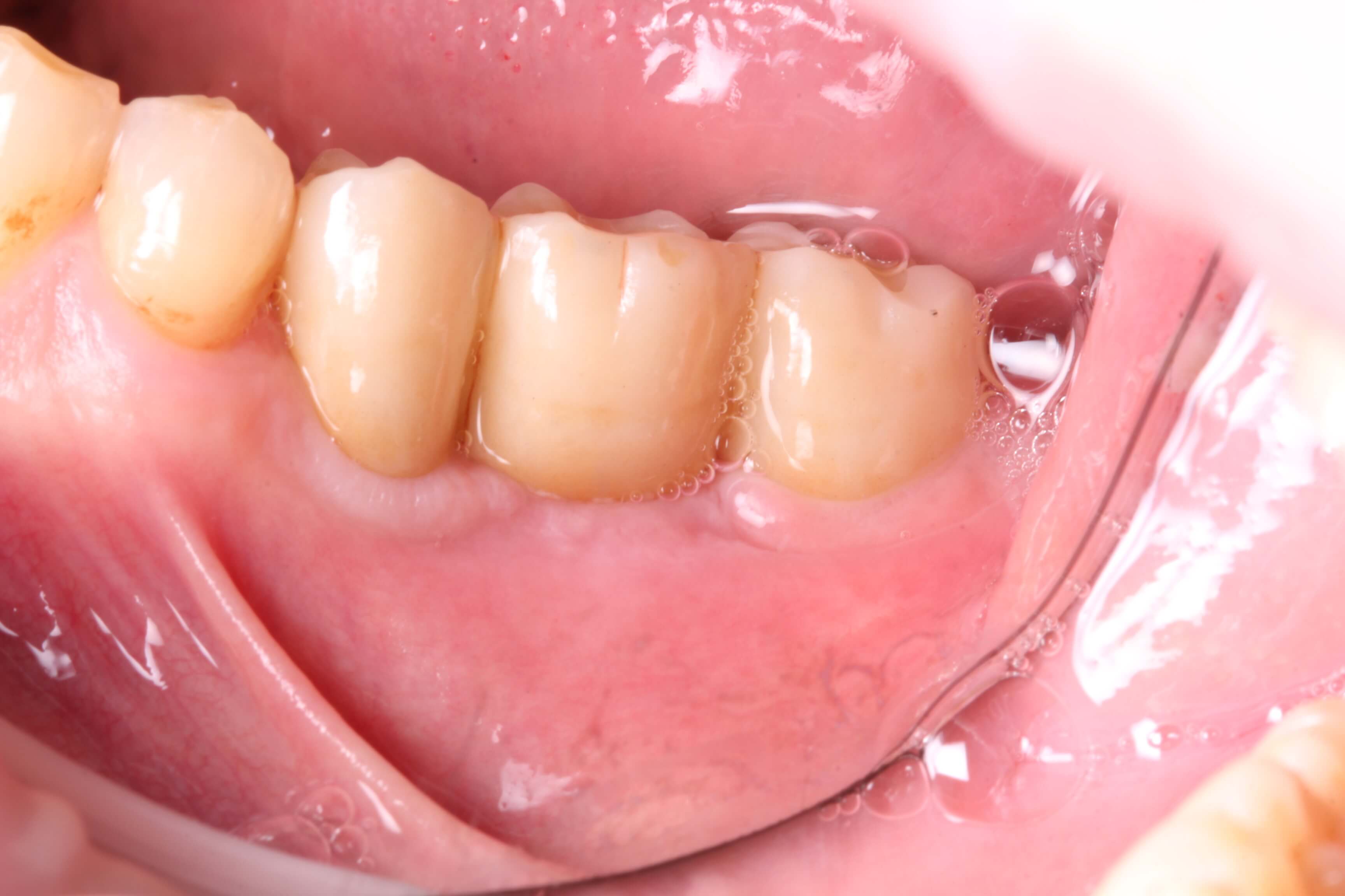
Результат
Ровно через 4 месяца было проведено протезирование боковых отделов циркониевыми коронками, а также мостовидными протезами с опорой на имплантатах.
Лечение выполняли
Стоматолог-хирург
Владимир Шелег
Врач стоматолог-хирург-имплантолог, первая квалификационная категория.
Подробнее
Стоматолог-ортопед
Антон Добрицкий
Врач стоматолог-ортопед, высшая квалификационная категория.
Подробнее
