История
Пациентка обратилась в стоматологическую клинику SHEDO с жалобами на эстетику передних зубов. После изучения клинического случая был предложен и согласован индивидуальный план лечения.
Лечение
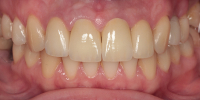
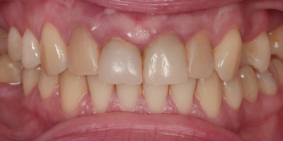
На фото «до» на зубах 12, 11, 21, 22 можно увидеть старые композитные реставрации, которые утратили функциональность и внешний вид. Было принято решение заменить их на циркониевые. На фото «после»: те же зубы уже покрыты циркониевыми коронками, позволившими восстановить форму, цвет и общую гармонию улыбки.
Результат
Диоксид циркония является биосовместимым, прочным и эстетичным материалом, который отлично подходит для зоны улыбки. Такие коронки позволяют добиться максимально естественного результата и долговечности. Теперь улыбка пациентки выглядит не только здоровой, но и естественной, а сами зубы получили надёжную защиту.
Лечение выполняли
Врач стоматолог-ортопед, первая квалификационная категория.
ПодробнееВрач стоматолог-хирург-имплантолог, вторая квалификационная категория.
Подробнее
