История
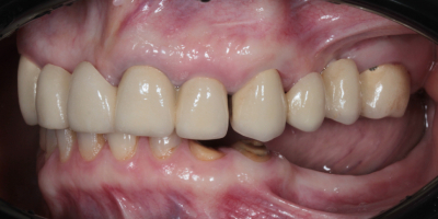
Пациентка обратилась в клинику с жалобами на старые несостоятельные металлокерамические коронки на верхней челюсти и отсутствие жевательных зубов в боковых отделах нижней челюсти.
Лечение
На первом фото вы можете видеть исходную ситуацию: старые коронки в зоне улыбки и отсутствие боковых зубов снизу.
Результат
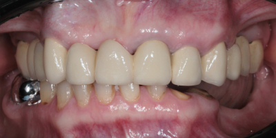
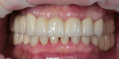
Выполнена имплантация в боковых отделах нижней челюсти, старые металлокерамические коронки на верхней челюсти заменены новыми. Имплантаты позволили восстановить жевательную функцию. Новые металлокерамические коронки обеспечили эстетику и гармонию улыбки.
Лечение выполняли
Стоматолог-ортопед
Александр Русецкий
Врач стоматолог-ортопед, первая квалификационная категория.
Подробнее
Стоматолог-хирург
Давид Григорян
Врач стоматолог-хирург-имплантолог, вторая квалификационная категория.
Подробнее
