История
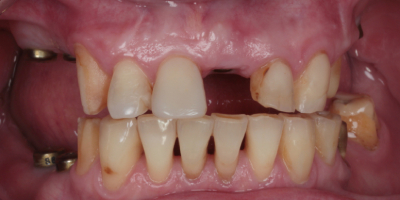
Пациентка обратилась с частичной потерей зубов на верхней и нижней челюсти. Отсутствие жевательных зубов и дефект в переднем отделе верхней челюсти мешали полноценно питаться и отражались на эстетике улыбки.
Лечение
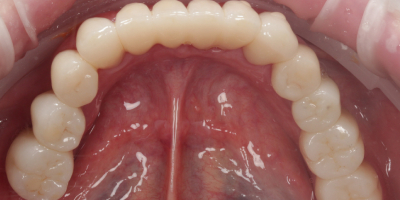
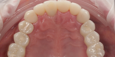
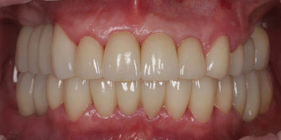
Была проведена имплантация: установлены импланты в области жевательных зубов нижней челюсти и в зоне переднего зуба верхней челюсти. После остеонтеграции имплантатов - проведено протезирование циркониевыми коронками.
Результат
Комплексное лечение позволило одновременно сохранить собственные зубы и восполнить отсутствующие участки с помощью имплантатов. Временные конструкции обеспечили адаптацию и комфорт сразу после операции. Постоянные циркониевые коронки восстановили гармонию улыбки, прочность и долговечность. В итоге пациент получил полноценный зубной ряд и красивую естественную улыбку.
Лечение выполняли
Врач стоматолог-ортопед, первая квалификационная категория.
ПодробнееВрач стоматолог-хирург-имплантолог, вторая квалификационная категория.
Подробнее
