История
Пациентка обратилась в SHEDO за комплексной имплантацией зубов и получила не только красивую улыбку, но и полноценное восстановление функции жевания в кратчайшие сроки, в два этапа.
Лечение
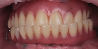
Пациентке была проведена комплексная имплантация и протезирование по протоколу All-on-6 на верхней и нижней челюсти.
Результат
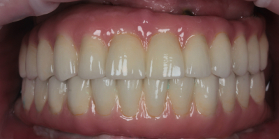
На втором фото финальный результат: временные конструкции заменены на два постоянных металлокерамических протеза. Постоянные протезы прочные, долговечные и максимально эстетичные. Такой двухэтапный протокол даёт пациенту комфорт на всём пути лечения и гарантирует предсказуемый результат.
Лечение выполняли
Очная консультация — 55 BYN. При наличии снимка дистанционная консультация бесплатно
Стоматолог-хирург
Давид Григорян
Врач стоматолог-хирург-имплантолог, вторая квалификационная категория.
Очная консультация — 55 BYN. При наличии снимка дистанционная консультация бесплатно

