История
Пациентка прошла комплексное лечение по протоколу All-on-6: от установки временных конструкций до фиксации металлокерамических протезов.
Лечение
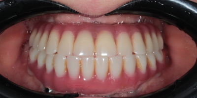
На первом фото вы можете увидеть временные металлоакриловые протезы на верхней и нижней челюсти, это первый этап лечения.
Результат
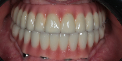
На втором фото уже финальный результат: постоянные металлокерамические протезы. Такой вариант отличается высокой прочностью, долговечностью и максимально естественным внешним видом. В результате пациентка получила красивую улыбку, восстановленную жевательную функцию и комфорт в повседневной жизни.
Лечение выполняли
Очная консультация — 55 BYN. При наличии снимка дистанционная консультация бесплатно
Стоматолог-хирург
Давид Григорян
Врач стоматолог-хирург-имплантолог, вторая квалификационная категория.
Очная консультация — 55 BYN. При наличии снимка дистанционная консультация бесплатно

