Следуя за веяниями и запросами пациентов, стоматология 21 века уверенно развивает и совершенствует те методы лечения, которые обеспечивают не только здоровье зубов, но и их эстетическое преображение. Среди таких услуг с большим отрывом лидируют керамические виниры. Вы несомненно про них слышали: говорят, что с винирами можно получить голливудскую улыбку без каких-либо серьезных вмешательств. Так ли это?
В данном материале мы рассмотрим не только принципы создания керамических виниров, их плюсы и минусы, показания и противопоказания, стоимость лечения, но и дадим ценные рекомендации для пациентов, рассматривающих этот вариант преображения своего внешнего вида.
Начнем с определения:
Керамические виниры представляют собой тонкие накладки из прочного керамического материала, созданные зубным техником с учетом индивидуальных особенностей лицевой эстетики пациента.
После утверждения дизайна и изготовления конструкций, виниры надежно приклеиваются на переднюю поверхность зубов. Этот метод позволяет не только улучшить внешний вид улыбки, но и зачастую положительно влияет на ее функциональность.
Керамические виниры в Минске
На сегодняшний день лечение керамическими винирами в Минске доступно во многих стоматологических клиниках. Врачи в Беларуси обладают обширным опытом и профессиональными навыками для выполнения этой процедуры, обеспечивая качественные результаты на самый взыскательный вкус.
Стоматологические клиники в Минске предлагают полный спектр услуг, начиная с консультации и планирования лечения и заканчивая установкой и последующим уходом за винирами. Клиники обеспечивают безболезненное и комфортное лечение с соблюдением всех стандартов стерильности и безопасности.
Кроме того, некоторые стоматологические клиники в Минске предоставляют индивидуальную консультацию и поддержку пациентам на всех этапах лечения, обеспечивая им не только качественный медицинский сервис, но и комфортное обслуживание. В стоматологической клинике SHEDO доступна услуга онлайн-консультации с врачами для иностранных пациентов, планирующих лечение, а также помощь с организацией проживания и сопровождения во время визита в Беларусь для лечения зубов.
Лечение керамическими винирами проводит Добрицкий Антон Павлович. За годы плодотворного труда он снискал репутацию щепетильного и ответственного доктора не только в Минске, но и широко за его пределами. Прекрасные улыбки пациентов доктора Добрицкого можно встретить в странах Балтии, России, Германии, Америки, Казахстана и др.
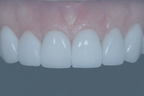
Еще одним преимуществом доктора является то, что в работе Антон Павлович использует технологию цифрового планирования улыбки Digital Smile Design, что позволяет заранее увидеть будущий результат при помощи компьютерного моделирования и увеличить предсказуемость лечения. Но лучше слов про работу доктора могут сказать примеры его работ. Посмотрите и убедитесь сами!
Показания к керамическим винирам
В каких случаях пациенты обращаются за такими реставрациями? Как правило, это:
- Приобретенные неровности и дефекты передних зубов, такие как сколы, трещины или стертые режущие края зубов.
- Изначально негармоничная форма зубов, их маленький размер или непропорциональность.
- Изменение цвета зубов, пигментация, которая не решается проведением профессиональной чистки и отбеливанием.
- Несоответствие между размером зубов и пространством в зубном ряду: щелочки и пространства между зубами (диастема, тремы).
- Желание улучшить внешний вид улыбки без обширной ортодонтической работы или при ее нецелесообразности.
- Множественные разрушения или композитные восстановления (пломбы) на передних зубах.
Противопоказания к керамическим винирам
По каким причинам стоматолог может отложить установку виниров:
- Невылеченные заболевания зубов, такие как кариес или пульпит - требуется лечение у стоматолога-терапевта.
- Недостаточное количество эмали для надежного крепления виниров: если на зубе уже есть большие пломбы, стоматолог может посоветовать установку полукоронки или коронки.
- Активные заболевания десен, например, пародонтоз - следует посетить стоматолога-терапевта или пародонтолога.
- Выраженная скученность зубов - необходимо предварительное ортодонтическое лечение.
- Отсутствие жевательных зубов - прежде всего нужно восстановить боковые зубы при помощи коронок и/или имплантов, а затем переходить к эстетической части лечения.
Этапы установки керамических виниров
- Консультация стоматолога-ортопеда: На первом этапе пациент встречается со стоматологом-ортопедом для обсуждения своих пожеланий и ожиданий от процедуры. Врач оценивает состояние ротовой полости, проводит необходимую диагностику и составляет индивидуальный план лечения.
- Планирование лечения и подготовка: В предварительный план лечения, как правило, входит проведение профессиональной чистки зубов, лечение кариеса и/или замена несостоятельных пломб, при необходимости ортодонтическая коррекция, протезирование и имплантация отсутствующих жевательных зубов.
- Начало лечения: Когда пациент выполнил все назначения ортопеда, можно приступать к планированию самих виниров. Не менее ответственным этапом является выбор количества виниров, их формы, размера и цвета. Также важно понимать, что для установки виниров стоматолог должен сошлифовать тонкий слой эмали с передней поверхности зубов. Однако не нужно волноваться, вы почти не заметите этого, потому что обработка очень филигранная, а после нее на зубы будут установлены временные виниры.
- Оттиск и подбор оттенков: Для того, чтобы зубной техник мог изготовить керамические виниры, врачу необходимо получить оттиск зубов. Также в соответствии с заранее составленным дизайном улыбки проводится примерка цвета и формы будущих виниров при помощи временных конструкций. На этом этапе пациенту важно со всех сторон оценить макет будущей улыбки.
- Изготовление виниров: Когда прототип виниров утвержден, начинается изготовление реставраций в зуботехнической лаборатории. Зубные техники используют разные оттенки керамического материала, послойно его наносят с почти художественной отдачей, чтобы обеспечить естественный внешний вид и предельное соответствие желаемому результату.
- Проверка и фиксация виниров: После изготовления виниров они проверяются стоматологом на соответствие размерам, форме и цвету. Затем конструкции надежно фиксируются на поверхности зубов в условиях изоляции от слюны с использованием специального стоматологического клея.
- Контрольные визиты и уход: После установки виниров пациент получает инструкции от стоматолога-ортопеда относительно ухода за ними. Регулярные контрольные визиты позволяют врачу следить за состоянием виниров и ротовой полости в целом, а также рекомендовать необходимые меры по поддержанию долговечности результатов лечения.
Лечение керамическими винирами – это не такой простой процесс, как может показаться на первый взгляд. Это комплексный многоэтапный процесс, который требует внимательного планирования, индивидуального подхода и профессиональной реализации. Соблюдение всех этапов лечения и рекомендаций стоматолога поможет достичь идеального результата и долговременного сохранения красоты улыбки.
Керамические виниры: рекомендации
- Для взвешенного принятия решения о керамических винирах прежде всего проконсультируйтесь со стоматологом-ортопедом.
- Обсудите с доктором ваши цели и ожидания от процедуры, чтобы обеспечить максимальное соответствие результатов вашим пожеланиям.
- Ответственно выполните назначения стоматолога-ортопеда, необходимые для начала работы над винирами: профессиональная гигиена, лечение кариеса, консультация ортодонта, протезирование.
- После установки виниров соблюдайте инструкции вашего стоматолога по уходу за конструкциями, ведь это способствует их долговечности и сохранению внешнего вида.
Керамические виниры: цена услуги и стоимость материалов
Цена за услугу лечения керамическими винирами в Минске формируется на основе нескольких факторов, которые включают:
- Профессиональный уровень врача: квалификация и опыт специалистов играют важную роль в формировании цены за услугу. Опытные врачи, вложившие много времени и средств в получение дополнительного образования и заработавшие положительную репутацию, могут закономерно указывать более высокую плату за свои услуги.
- Оборудование и расходные материалы: использование первоклассного стоматологического оборудования и зарубежных материалов может повлиять на стоимость процедуры. Таким образом, клиники, оснащенные передовым технологиями, могут запрашивать более высокую цену за свои услуги.
- Лабораторная работа: керамические виниры изготавливаются в зуботехнической лаборатории руками зубных техников, что также составляет часть расходов и входит в стоимость процедуры. Качество изготовленных виниров играет ключевую роль в долговечности и красоте результатов лечения.
Конечная стоимость услуги по лечению керамическими винирами обычно определяется после консультации со специалистом. На консультации стоматолог оценивает состояние ротовой полости пациента и составляет индивидуальный план лечения. После этого пациенту предоставляется подробная информация о стоимости и последующих этапах.
Лечение керамическими винирами – это не просто процедура улучшения улыбки, но и встреча с командой врачей, которые видят вашу уникальность и стремятся подчеркнуть ее на пути к идеальному результату. Это специалисты, искренне горящие своим ремеслом. А применение передовых методик и инновационного оборудования поможет им сделать вашу улыбку идеальной. Доверьтесь заботе профессионалов и откройте для себя новый уровень уверенности в красоте своей улыбки!
Лечение выполняют
Врач стоматолог-ортопед, высшая квалификационная категория.
ПодробнееВрач стоматолог-ортопед, первая квалификационная категория.
ПодробнееВрач стоматолог-ортопед, первая квалификационная категория.
ПодробнееЧасто задаваемые вопросы
Керамические виниры - это тонкие накладки из керамики, которые стоматологи-ортопеды приклеивают на переднюю поверхность зубов для улучшения их внешнего вида, формы и цвета.
Установка керамических виниров обычно не вызывает боли, так как процедура выполняется под местным обезболиванием. Время установки зависит от количества и состояния зубов, но обычно занимает несколько сеансов.
Преимущества установки керамических виниров в Минске включают лечение у квалифицированных ответственных стоматологов, работающих с современным оборудованием и высококачественными материалами, что обеспечивает эффективное и комфортное лечение с учетом пожеланий пациентов.
Цена керамических виниров основывается на квалификации и опыта врача, используемого оборудования и стоимости расходных материалов и услуг зуботехнической лаборатории, а также индивидуальных особенностей каждого клинического случая.
Свяжитесь с нами любым удобным для вас способом: через форму онлайн-записи либо напишите на info@shedo.by


