Patient history
The patient was missing teeth in the upper jaw and required implant placement followed by restoration with a fixed prosthesis. The situation was complicated by the patient’s severe fear of dental procedures. Taking this into account, we carried out preparatory work and created a so-called surgical guide. The use of a surgical guide, in addition to all its advantages for the doctor, made it possible to perform the surgical stage of treatment as quickly as possible and without incisions.
Treatment
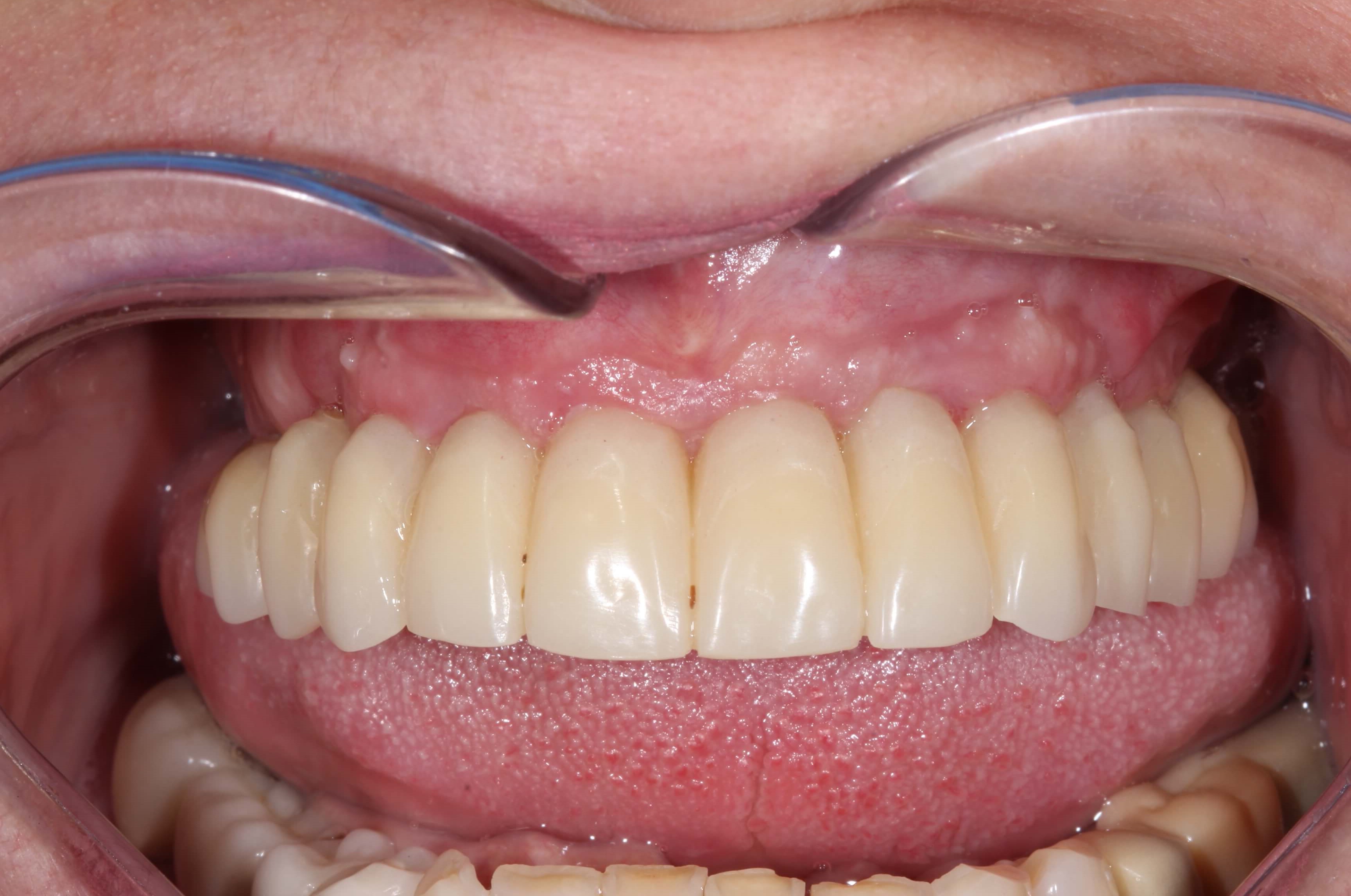
The surgeon placed all implants in the upper jaw within one hour, without making any incisions. As a result, the patient experienced a significantly easier postoperative recovery, with no swelling or hematomas.
Result
Within three days after the surgery, temporary crowns were placed on the implants according to the models we had designed prior to the operation.

