История
У пациента отсутствовали зубы на верхней челюсти и нужно было устанавливать имплантаты с последующим восстановлением несъемного протеза. Ситуация осложнялась огромным страхом пациента перед стоматологическими вмешательствами. Учитывая этот момент, мы провели подготовительную работу, изготовили так называемый хирургический шаблон. Использование хирургического шаблона, помимо всех его преимуществ важных для врача, позволяют провести хирургический этап лечения максимально быстро и без разрезов.
Лечение
Хирург установил все имплантаты на верхней челюсти в течение 1 часа, без проведения каких-либо разрезов, а значит - с несоизмеримо более легким послеоперационным состоянием пациента, с отсутствием послеоперационных отеков и гематом.
Результат
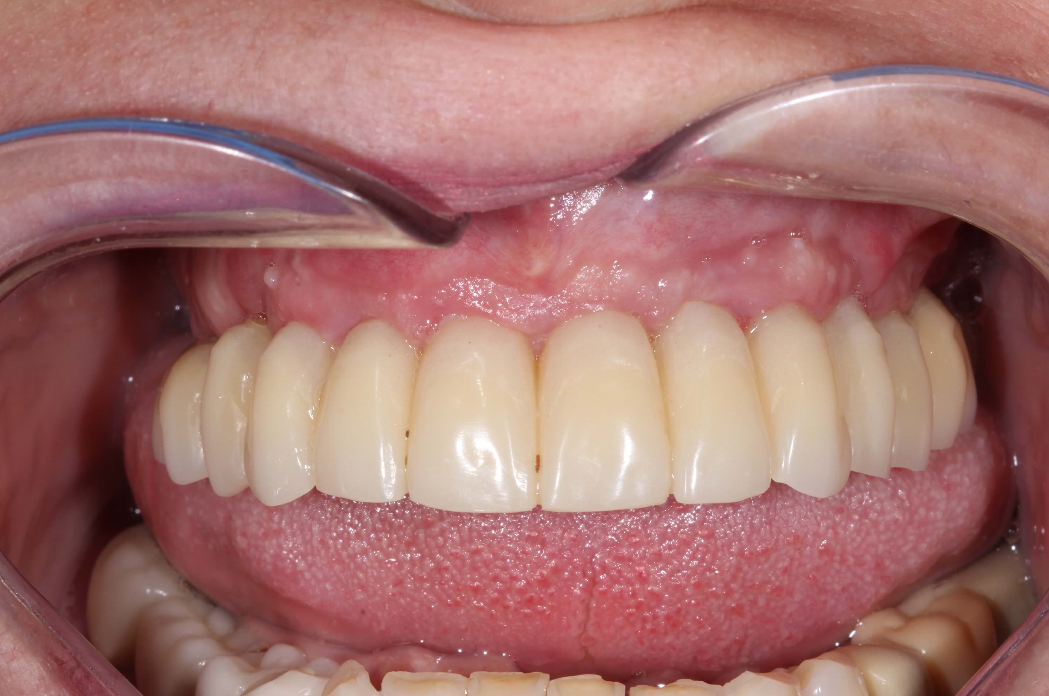
В течение 3 дней после операции были установлены временные коронки на имплантаты по макетам, которые были смоделированы нами еще до операции.
Лечение выполняли
Врач стоматолог-хирург-имплантолог, первая квалификационная категория.
ПодробнееВрач стоматолог-ортопед, высшая квалификационная категория.
Подробнее
