История
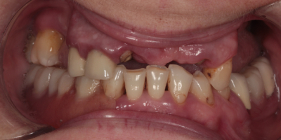
Пациентка обратилась в клинику SHEDO с жалобами на разрушенные и отсутствующие зубы верхней челюсти. Основные пожелания: восстановить жевательную функцию и улучшить эстетику улыбки.
Лечение
Исходная клиническая ситуация: частичное разрушение зубов и их отсутствие, выраженный функциональный и эстетический дискомфорт.
Результат
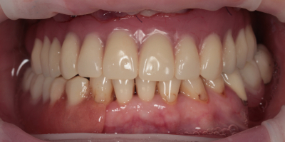
Результат после хирургического и ортопедического этапов: проведена операция All-on-6 и зафиксирован временный металлоакриловый протез. В кратчайшие сроки пациентка получила новые зубы, восстановила жевательную эффективность и эстетику улыбки. Временный протез позволит адаптироваться и пройти этап остеоинтеграции имплантов, а через 6-12 месяцев будет заменён на постоянную конструкцию. Далее планируется имплантация и протезирование нижней челюсти.
Лечение выполняли
Врач стоматолог-ортопед, первая квалификационная категория.
ПодробнееВрач стоматолог-хирург-имплантолог, вторая квалификационная категория.
Подробнее
