История
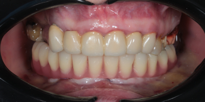
Пациентка обратилась с жалобами на старые несостоятельные коронки и частично утраченные зубы. Это создавало как эстетические, так и функциональные проблемы и вляло на качество жизни.
Лечение
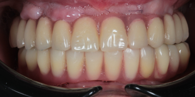
На первом этапе была проведена комплексная имплантация и протезирование по методике All-on-6 на нижней челюсти. Временные протезы дают возможность адаптации, а также помогают скорректировать эстетику и прикус. Вторым этапом была запротезирована верхняя челюсть.
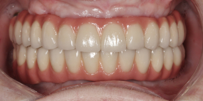
Результат
После адаптационного периода временные протезы были заменены на постоянные металлокерамические протезы. Такой пошаговый подход позволяет пациенту оставаться с зубами на протяжении всего лечения. Постоянные металлокерамические конструкции обеспечивают долговечность, надёжность и высокую эстетику.
Лечение выполняли
Врач стоматолог-ортопед, первая квалификационная категория.
ПодробнееВрач стоматолог-хирург-имплантолог, вторая квалификационная категория.
Подробнее
