История
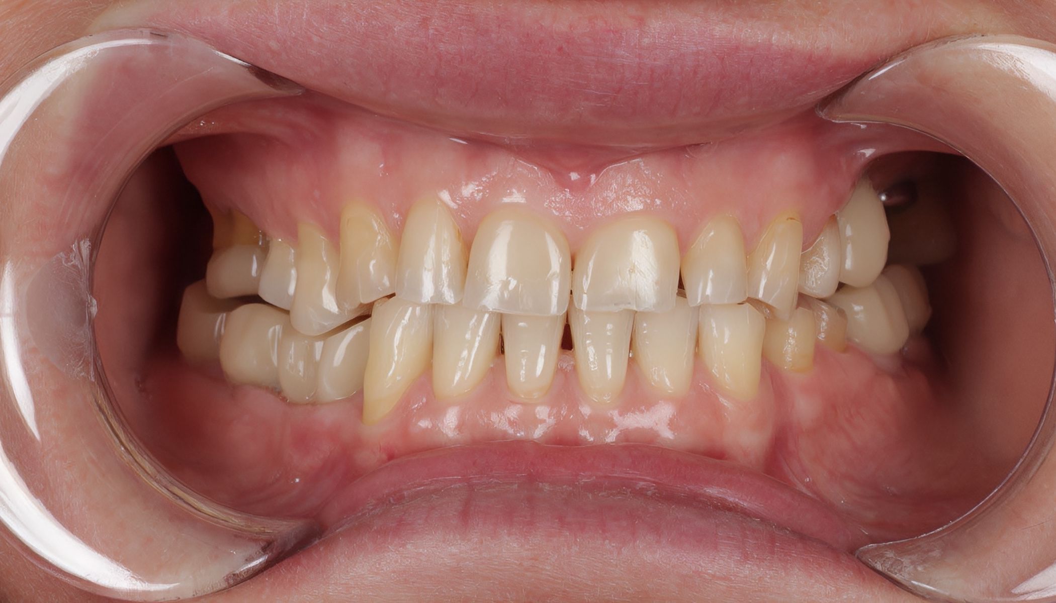
Пациентка обратилась с жалобами на отсутствие жевательных зубов на верхней челюсти слева. Также её беспокоило изменение формы и размеров оставшихся зубов. Лечение было проведено комплексно и поэтапно.
Лечение
На первом, хирургическом этапе были удалены несостоятельные зубы и установлены имплантаты. Затем изготовлены временные коронки с опорой на установленные импланты. Через три месяца после имплантации зубов был проведён второй этап — диагностическое моделирование. В рамках этого этапа мы смоделировали будущую улыбку пациентки и изготовили временные реставрации на все зубы верхней и нижней челюстей.
Результат
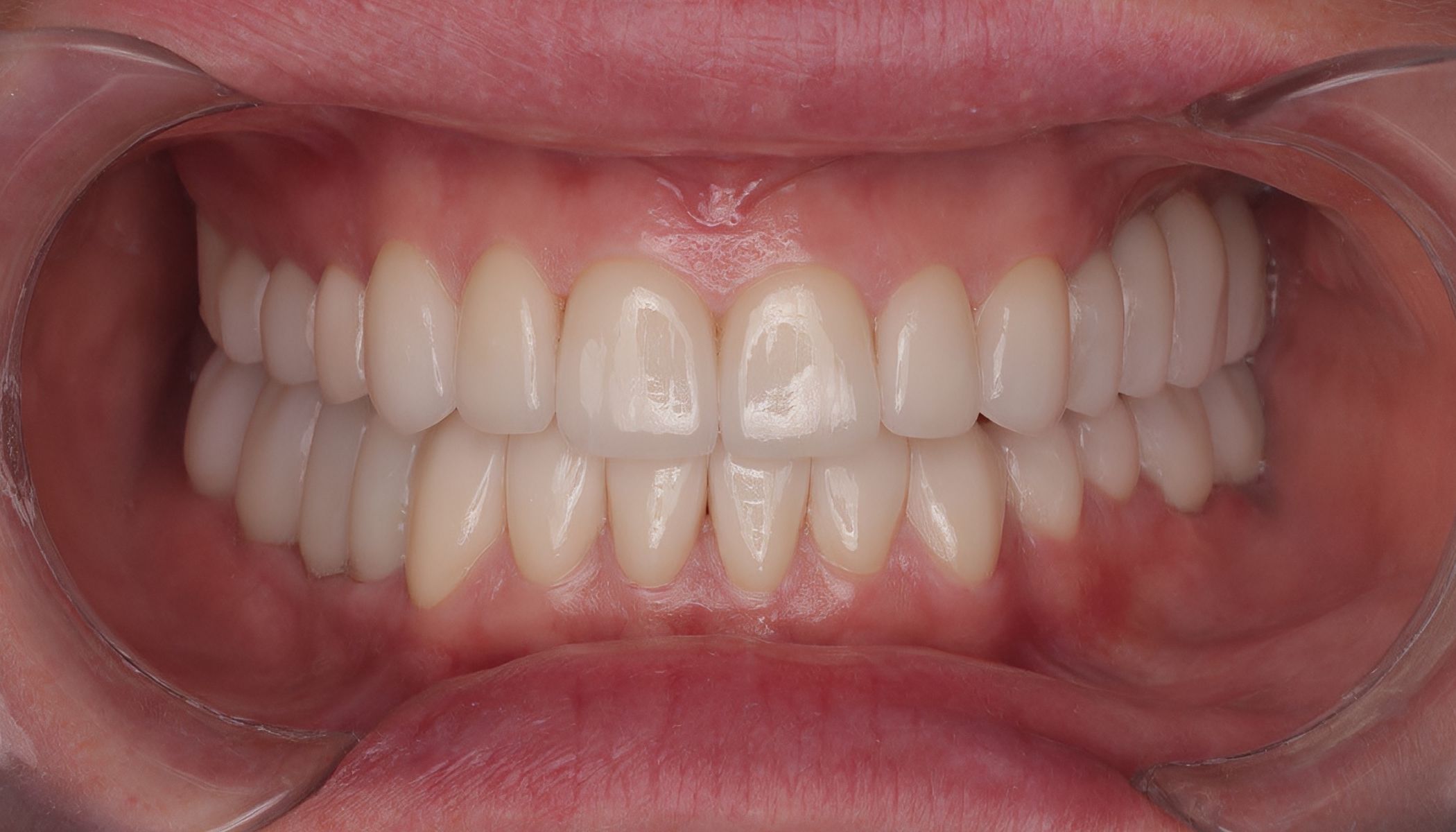
На третьем этапе, после двухмесячного периода адаптации, временные реставрации были заменены на постоянные безметалловые конструкции. В результате комплексного подхода удалось полностью восстановить эстетику и функциональность зубочелюстной системы. Пациентка вновь обрела полноценную улыбку и улучшенную способность пережёвывания пищи. Это положительно сказалось на качестве её жизни. Таким образом, проведённое лечение эффективно решило проблему отсутствия жевательных зубов и изменения формы остальных, улучшив как внешний вид, так и функциональные параметры ротовой полости.
Лечение выполняли
Врач стоматолог-хирург-имплантолог, первая квалификационная категория.
ПодробнееВрач стоматолог-ортопед, первая квалификационная категория.
Подробнее
