История
Пациентка обратилась в стоматологию SHEDO с проблемой в зоне передних зубов. Это зона улыбки, поэтому вопрос эстетики исключительно важен.
Лечение
Из-за невозможности сохранить центральные резцы 11 и 21, было принято решение об их удалении и проведении одномоментной имплантации. В кратчайшие сроки были изготовлены и установлены временные коронки.
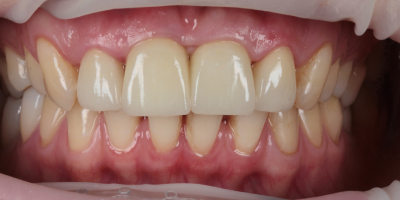
Результат
Через 3 месяца, после успешной остеоинтеграции имплантов, был выполнен финальный этап: на имплантаты 11 и 21 изготовлены безметалловые коронки на индивидуальных циркониевых абатментах, старые керамические реставрации на боковых резцах 12 и 22 заменены новыми. На фото можно увидеть путь от исходной ситуации до финального результата.
Лечение выполняли
Очная консультация — 55 BYN. При наличии снимка дистанционная консультация бесплатно
Стоматолог-хирург
Давид Григорян
Врач стоматолог-хирург-имплантолог, вторая квалификационная категория.
Очная консультация — 55 BYN. При наличии снимка дистанционная консультация бесплатно

