История
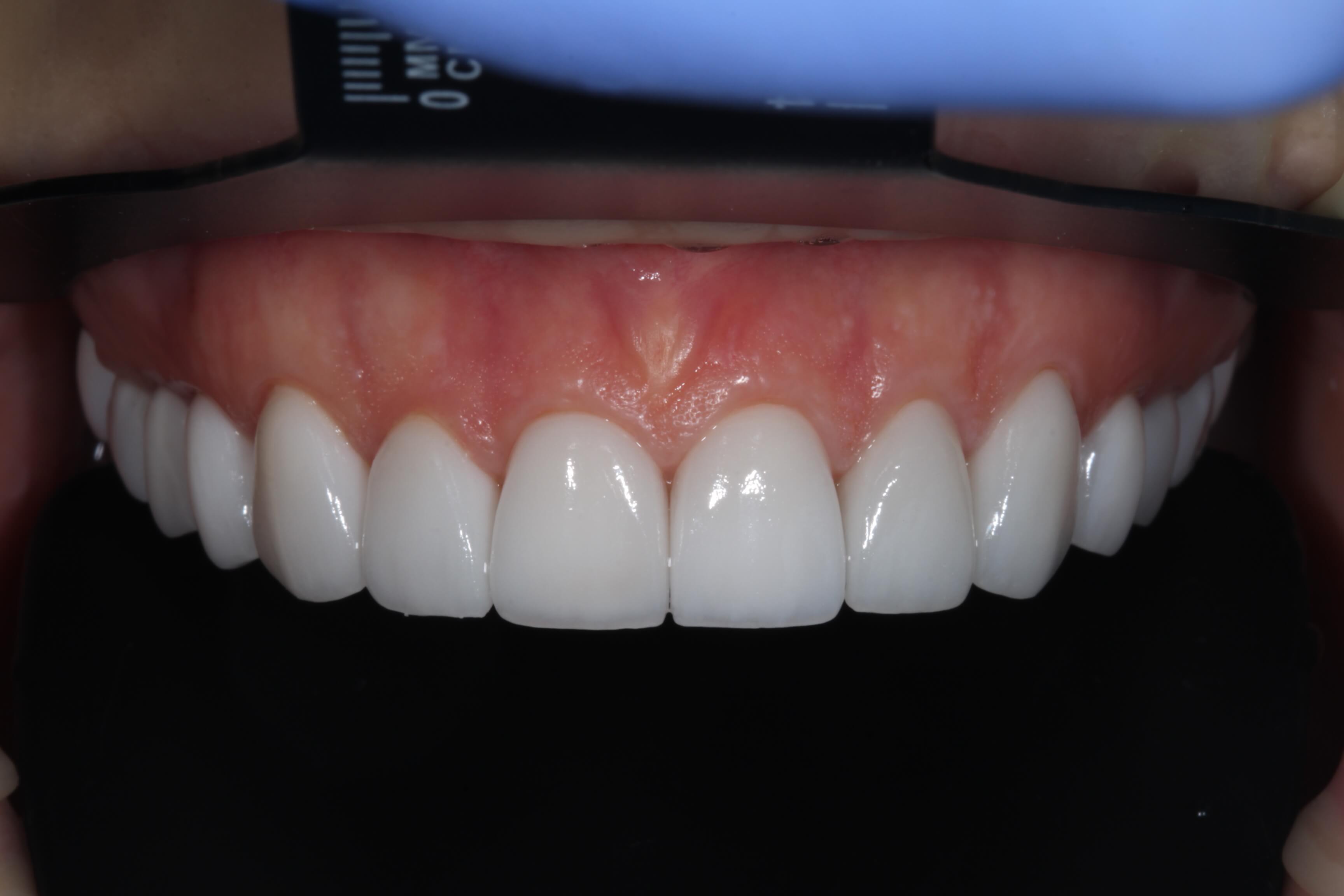
Мечтаете о «голливудской улыбке»? Вашему вниманию кейс тотальной реабилитации и воплощения мечты пациента о той самой голливудской улыбке.
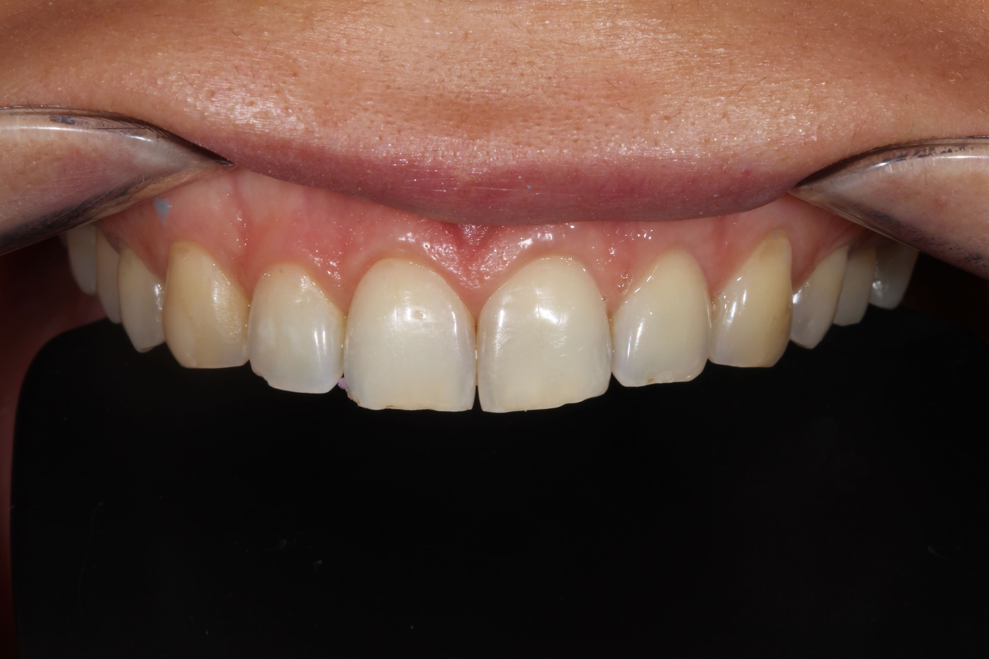
Лечение
На первом этапе лечения было установлено 2 имплантата на нижней челюсти на месте удаленных ранее 2 боковых зубов.
Через 3 месяца мы спланировали новую форму и обсудили нужный оттенок желаемой улыбки, и все воплотили в жизнь: установили керамические виниры очень светлого оттенка, а также циркониевые коронки на имплантатах.
Результат
Оценить результат работы наших врачей, а также саму «голливудскую улыбку» вы можете на фото. Узнайте больше о керамических винирах и запишитесь на консультацию к ортопеду.
Лечение выполняли
Врач стоматолог-ортопед, высшая квалификационная категория.
ПодробнееВрач стоматолог-хирург-имплантолог, первая квалификационная категория.
Подробнее
