История
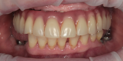
Пациент обратился с комплексной проблемой: зубы верхней челюсти были сильно разрушены, а на нижней челюсти отсутствовали жевательные зубы. Это приводило не только к нарушению эстетики, но и к серьёзным трудностям при приёме пищи.
Лечение
Первый этап комплексной реабилитации: на верхней челюсти проведена операция по протоколу All-on-6 с установкой временного металлоакрилового протеза. Это позволило сразу вернуть пациенту возможность улыбаться и комфортно общаться. Параллельно выполнена имплантация в боковых отделах нижней челюсти, подготовка к восстановлению жевательной функции.
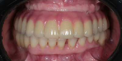
Результат
Финальный этап лечения: на верхней челюсти временный протез заменён на постоянный металлокерамический мост, который отличается прочностью и высокой эстетикой. На нижней челюсти импланты были запротезированы, и пациент получил полноценные жевательные зубы. Такой поэтапный подход позволяет сначала вернуть пациенту эстетику и уверенность, а затем завершить функциональную часть лечения. Результат — гармоничная улыбка, восстановленный прикус и полноценная жевательная эффективность. Пациент снова может свободно улыбаться, комфортно общаться и есть без ограничений.
Лечение выполняли
Врач стоматолог-ортопед, первая квалификационная категория.
ПодробнееВрач стоматолог-хирург-имплантолог, вторая квалификационная категория.
Подробнее
