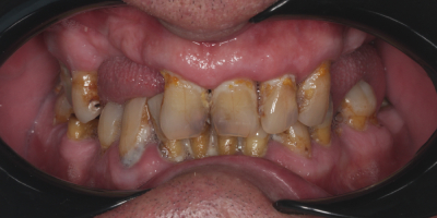
История
Пациент обратился с выраженной проблемой: подвижные зубы на верхней и нижней челюсти в результате пародонтоза.
Лечение
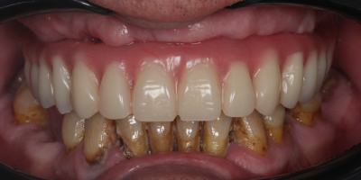
Первый этап лечения: проведена операция по протоколу All-on-6 на верхней челюсти, установлен временный металлоакриловый протез.
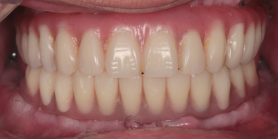
Резульат
Второй этап лечения: выполнена имплантация и на нижней челюсти, пациент получил полноценные зубные ряды. Использованы протоколы немедленной нагрузки, что позволило пациенту в короткие сроки восстановить эстетику и функцию. В дальнейшем временные протезы будут заменены на постоянные конструкции. Такой комплексный подход возвращает пациентам уверенность, здоровье и комфорт на долгие годы.
Лечение выполняли
Очная консультация — 55 BYN. При наличии снимка дистанционная консультация бесплатно
Стоматолог-хирург
Давид Григорян
Врач стоматолог-хирург-имплантолог, вторая квалификационная категория.
Очная консультация — 55 BYN. При наличии снимка дистанционная консультация бесплатно

