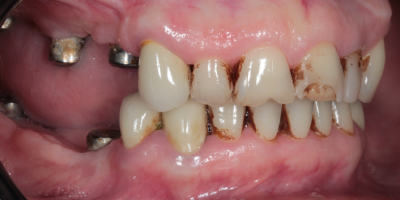
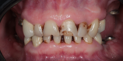
История
Пациентка обратилась в клинику с целью улучшить эстетику улыбки и восстановить полноценную жевательную функцию.
Лечение
В начале были проведены подготовительные этапы: удаление зубов, неподлежащих лечению, установка имплантатов в боковых отделах верхней и нижней челюсти, а также выполнена терапевтическая санация.
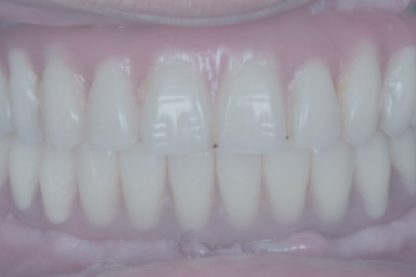
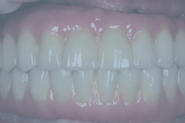
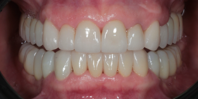
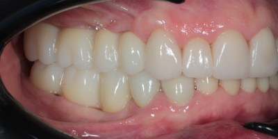
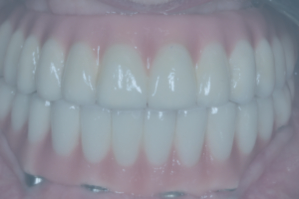
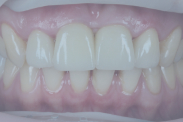
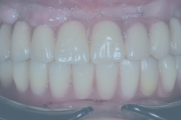
Результат
Финальный результат: на имплантах установлены циркониевые коронки, а в переднем отделе на зубах изготовлены керамические виниры E-max. Сочетание имплантации и керамических реставраций позволило полностью восстановить эстетику и функцию. Виниры придали улыбке естественность и гармонию, а коронки на имплантах обеспечили прочность и надёжность в жевательных зонах.
Лечение выполняли
Очная консультация — 55 BYN. При наличии снимка дистанционная консультация бесплатно
Стоматолог-хирург
Давид Григорян
Врач стоматолог-хирург-имплантолог, вторая квалификационная категория.
Очная консультация — 55 BYN. При наличии снимка дистанционная консультация бесплатно

