История
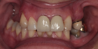
Пациентка обратилась с выраженной проблемой на верхней челюсти: большинство зубов были разрушены, а часть полностью отсутствовала. Это вызывало трудности в жевании и смущало при улыбке.
Лечение
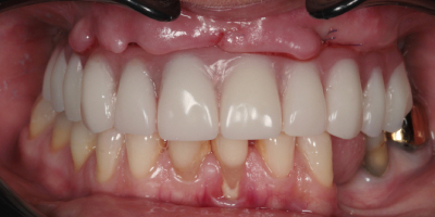
На первом фото («до») можно увидеть клиническую ситуацию до лечения. На втором фото результат после проведённой операции по протоколу All-on-6 и установки временного металлоакрилового протеза.
Результат
Пациентка получила несъемную ортопедическую конструкцию, которая вернула ей возможность комфортно жевать и уверенно улыбаться. После периода адаптации и остеоинтеграции имплантов временный протез будет заменён на постоянный. Такой подход позволяет комплексно решить функциональные и эстетические задачи в максимально короткие сроки.
Лечение выполняли
Врач стоматолог-ортопед, первая квалификационная категория.
ПодробнееВрач стоматолог-хирург-имплантолог, вторая квалификационная категория.
Подробнее
